船橋駅前の 皮ふ科 / 形成外科 / 美容皮ふ科 /美容外科

☎ お問い合わせ&ご予約はお気軽に☎
午前:月火水金土 9–13時 / 午後:月火水金 14–18時
完全予約制:全日処置・手術 / 土曜診察は予約料あり
粉瘤脂肪腫石灰化上皮腫

HOME | 船橋 形成外科 | しこり摘出手術

しこり摘出手術

当院の日帰り手術

特徴

1. 短い通院日数 (合併症発生時は例外あり)

2. 術前血液検査なし⇒時間と費用の節約

3. 術後トラブルに迅速対応(メール連絡可)

手術実績(手術件数)

手術件数
2024年 868件
2023年 713件
2022年 775件
2021年 867件
2020年 910件
2019年 955件
2018年 792件
2017年 471件
2016年 242件
保険診療の皮膚・皮下腫瘍摘出術(露出部+露出部以外)を合わせた総数(各年)
※2016年は4月~12月の件数

しこり摘出手術経験

しこり摘出手術後の傷跡

しこり摘出手術後にどのような傷跡が付くのか、ご心配があると思いますので、まとめてみました。なお、術後の傷跡は目立たない細くて白い線になることはあっても、消えることはありません。誤解がありませんよう、よろしくお願いいたします。

術後傷跡
経過

1.はじめは少し赤みや硬さが残ります。⇒1~3ヶ月で徐々に薄くなってきます。

2.体質や部位で赤く盛り上がる肥厚性瘢痕やケロイドに変化する場合があります。特に肩周囲や胸部は注意すべき部位です。

対処

◎肥厚性瘢痕が発生した場合は、ステロイド徐放テープやステロイド局所注射(ケナコルト)で対処しますので、早めに再診をお願いしています。

※ケナコルトは製薬会社の新製造ラインの検査のため、現在、出荷制限がかかっており、入手困難な状況です。

詳細はこちら↗

予防

◎術前から抗酸化力と創傷治癒力の増強のため、食事のタンパク質の増量と亜鉛サプリメントの摂取をお勧めしています。

皮下腫瘍摘出症例6

石灰化上皮腫

粉瘤の次に多い、白っぽい硬いしこりです。

皮下腫瘍摘出症例5

粉瘤(アテローマ)

顔や背中に生じる粉瘤は、カラダで一番多いしこりです。

皮下腫瘍摘出症例4

顔に生じた皮様嚢腫というしこりで、先天性で、髪の毛の成分が入っていることが多いです。

概要

右こめかみのしこり。生まれつきで、徐々に増大。摘出組織には毛髪が含まれていました。

手術名

皮膚・皮下腫瘍摘出術(露出部2cm未満)

しこり名

皮様嚢腫

経過

術後の圧迫は24時間、その後の出血は少量。自宅で自己処置を行い、1週間後に抜糸

費用

総額 11,000円(3割負担)

内訳 手術料4,980円  
   +病理検査料3,000円
   +再診料、処方料
   +予約料2,000円

リスク

疼痛、術後出血、術後感染、創離開

傷跡の残存、肥厚性瘢痕、ケロイド

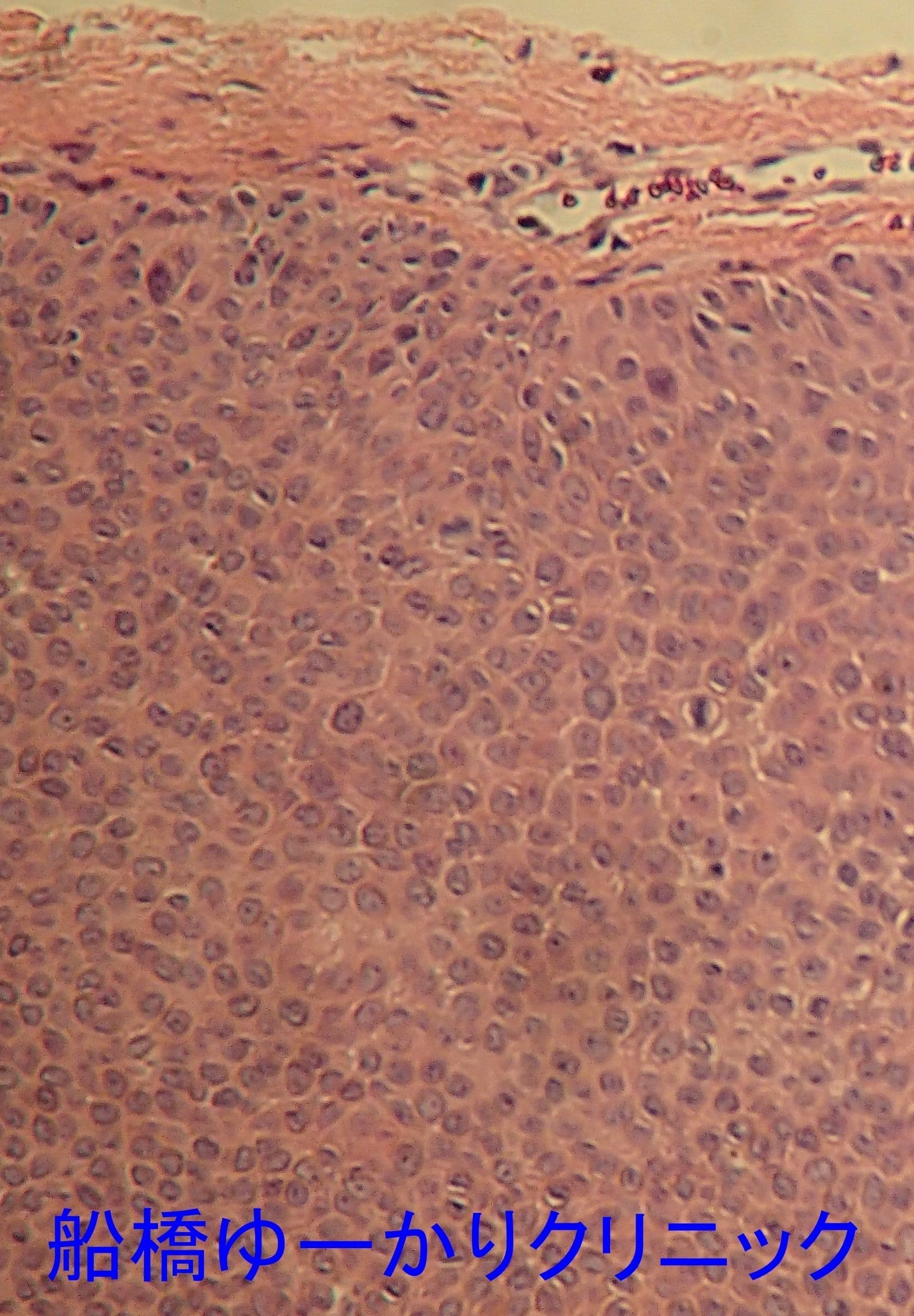
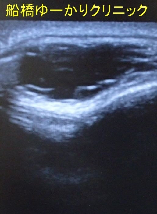
デルモイドシスト

術前

術前

デルモイドシスト

エコー

エコー

デルモイドシスト

摘出組織

摘出組織

皮下腫瘍摘出症例3

脂肪腫

背部や腹部などに発生する柔らかいしこりです。5年~10年の経過で徐々に大きくなることが多いので、3cm~5cmあれば、摘出をお勧めしています。

腫瘍摘出症例2

手指に生じたしこりです。汗管腫は比較的稀なしこりです。

概要

母指に発生したしこり。予想外の組織で、汗管腫でした。

手術名

皮膚・皮下腫瘍摘出術(露出部2cm未満)

しこり名

汗管腫

経過

術後の圧迫は24時間、その後の出血は少量。自宅で自己処置を行い、1週間後に抜糸

費用

総額 11,000円(3割負担)

内訳 手術料4,980円
   +病理組織検査料3,000円
   +再診料、処方料
   +予約料2,000円

リスク

疼痛、術後出血、術後感染、創離開

傷跡の残存、肥厚性瘢痕、ケロイド

初診時

初診時

摘出組織

摘出組織

病理組織
汗管腫

病理組織

腫瘍摘出症例1 

上腕や大腿部に多いしこりです。茶色で、硬く、少し盛り上がっているのが特徴です。おそらく、虫刺されがきっかけと考えています。

概要

上腕のしこり。やや盛り上がって、薄い赤みがあります。エコーでは境界不明瞭な不均一な低エコー像。皮膚を紡錘形に切除し、皮下腫瘍を摘出しました。病理組織は皮膚線維腫でした。

手術名

皮膚・皮下腫瘍摘出術(露出部以外3cm未満)

しこり名

皮膚線維腫

経過

術後の圧迫は24時間、その後の出血は少量。自宅で自己処置を行い、1週間後に抜糸

費用

総額 10,000円

内訳 手術料3,840円
   +病理組織検査料3,000円
   +再診料、処方料
   +予約料2,000円

リスク

疼痛、術後出血、術後感染、創離開

傷跡の残存、肥厚性瘢痕、ケロイド

初診時

初診時

エコー

エコー

皮膚切除

手術時 

摘出組織

摘出組織

術後1週間

術後1週間

術後1ヶ月

術後1ヶ月

しこりの種類

皮膚(表皮・真皮・皮下組織)には、実にさまざまなしこりが発生します。

粉瘤(表皮のう腫)

要点

粉瘤は、頬部や背部に好発し、毛穴の上皮細胞から袋状に発生するしこりです。毛穴が閉じて、皮脂や皮膚の垢が貯まると、徐々に大きくなり、嫌気性菌が増殖してしまうと、化膿して膿が貯まって臭くなる粉瘤は、小さいうちに摘出する方がよいでしょう。

石灰化上皮腫

要点

石灰化上皮腫は、毛を作る毛母細胞から発生し、もみあげや上腕に好発する皮下の硬いしこりです。

石灰化上皮腫が大きくなると、表皮が薄くなり、露出して、化膿する場合がありますので、摘出する方がよいでしょう。

脂肪腫

要点

脂肪腫は、肩周囲、上腕、腹部、背部に発生する柔らかいしこりです。小さい脂肪腫は2cm程度ですが、5年から10年スパンで徐々に大きくなり、10cmにも達する脂肪腫もありますので、早めの摘出がよいでしょう。

脂肪腫は皮下直下の浅層にできるタイプ、浅筋膜より深層にできるタイプ、筋膜や筋肉内にできるタイプと、深さ別にいろいろな脂肪腫がありますので、摘出前に正確な画像診断(CTやMRI)が必要になります。

皮膚線維腫

要点

皮膚線維腫は上肢(前腕、上腕、肩周囲)や下肢(大腿、下腿)に好発する表面が茶色でやや盛り上がった硬いしこりです。よく虫に刺される部分と一致していますので、関係があるのかもしれません。取り残すと再発しやすいので、1,2mm広めに紡錘形に切除します。

皮様のう腫

要点

皮様嚢腫は、生まれつきで眉毛周囲の真皮層から発生しやすいしこりです。年齢とともに徐々に大きくなります。

しこりの中には、髪の毛など皮膚付属器組織が含まれている特殊なしこりです。

外毛根鞘腫

要点

外毛根鞘腫は、口唇に好発し、毛母を包む細胞から発生するしこりです。

しこり摘出手術の流れ

当院の特徴

要点

寺田院長は日本専門医機構認定形成外科専門医です。

手術のご負担軽減のため、少ない通院日数を心がけています。

通院

流れ

①初診(診断、治療方針の説明、手術承諾書にサイン、ご予約)

②手術(通常30分)

大きなしこりの場合、血腫防止のドレーンチューブを留置する場合があります。翌日ドレーンを抜去するための再診が必要になります。

③1,2週間後に抜糸で再診

④1,2ヶ月後に赤く盛り上がる肥厚性瘢痕が発生した場合はご来院ください。

術前検査

要点

術前採血検査はありません。

例外

1.高血圧、糖尿病、心臓病、膠原病など持病がある方は検査を行う場合があります。

2.針刺し事故が発生した場合は、採血をお願いする場合があります。

3.術後出血、創離開、皮下血腫など合併症が発生した場合は、通院回数は増えます。

予約料

要点

10分手術で1,000円
20分手術で2,000

30分手術で3,000円
40分手術で4,000円
60分手術で6,000円

手術時間にはお着替えや麻酔の待機時間、術後の説明時間などを含めます。

病理組織検査

要点

細胞の増殖所見がある腫瘍のみ。通常の粉瘤では行っておりません。

お子様の手術

要点

聞き分けできる年代(5,6歳)から。

注射の痛みで、泣いてパニックにならないお子様。

お子様とよくご相談の上、局所麻酔手術をお受けになれる場合があります。

摘出手術

要点

しこりがある部分に局所麻酔の注射を行い、皮膚を切開して、しこりを摘出します。

切開部は手術用ナイロン糸などで皮下(浅筋膜、真皮)、皮膚を縫合閉鎖します。

※吸収糸※

要点

吸収する過程で炎症を引き起こすことが増えている印象があるため、最近は使用しない場合が増えています。

皮膚だけ縫合する部位

部位別

まぶた、耳、脇(腋窩)など皮膚が薄い部分

手、足、背部、殿部など皮膚が硬い部位

合併症とアフタケア

痛み

要点

術後1,2時間で麻酔効果がなくなっても、通常はさほど痛くないことが多いですが、個人差があります。

対処

ご希望される場合、痛み止めを処方します。

ご希望されないと、痛み止めをお渡ししません。

注意

手術終了時に担当者が痛み止めのおくすりをご希望されるかどうか確認しますが、事前にお伝えいただくと助かります。

皮下血腫、内出血

要点

とくに大きな脂肪腫を摘出した後に出血しやすいので、ドレーンというチューブを皮下に一晩留置する場合があります。この時はドレーンを抜く必要がありますので、翌日の受診をお願いしています。

稀に摘出部位からじわじわと出血が続き、内出血が生じることがあります。ひどくなると、血液が溜まってしまう場合もあります。

対処

針を刺して溜まった血液を吸引したり、縫合した傷口を一部開けて、血栓状に固まった血液を排出する場合もあります。年に1回か2回ある程度の頻度です。

線状瘢痕

要点

通常の経過です。アフタケアとして、約1ヶ月間、茶色テープを貼って、傷跡を保護していただきます。

経過

傷跡は消えることはございません。

2,3ヶ月すると、体質によりますが、かなりきれいになって白い細い傷跡がわからなくなる方から、ほどほどの状態になる方、赤い肥厚性瘢痕になってくる方といろいろ個人差があります。

真皮縫合糸の排出

要点

3ヶ月程度で吸収される糸で真皮縫合する場合があります。

数カ月経って、排出されてくる場合は、除去します。

注意

最近、吸収過程で赤くなる場合が増加している印象があるため、吸収糸の使用頻度が減っています。

皮膚の凹み

要点

直径5cm以上の大きなしこりを除去したあとは、少し凹みを生じることがあります。徐々に元に戻ることが多いですが、凹みが残る場合もあります。

対処

経過観察になります。

盛り上がった傷跡=肥厚性瘢痕・ケロイド

要点

傷が治るまでに時間がかかったり、体質や部位(胸部や肩など)によって、傷跡が徐々に赤く盛り上がってくる場合があります。

対処

ステロイド徐放テープやステロイド局所注射でコントロールしますが、数ヶ月以上と時間がかかります。

最後までお読みくださり、ありがとうございました。
すり傷・切り傷の治療やケアについて、
ご不明な点がございましたら、 無料メール相談からお気軽にご相談ください。

無料メール相談はこちら

お辞儀イラスト

HOME | 船橋 形成外科 | しこり摘出手術